English

انجام جراحی نادر در بیمارستان شهید محمدی بندرعباس/خارج کردن تومور ۲ کیلویی از ریه زن باردار

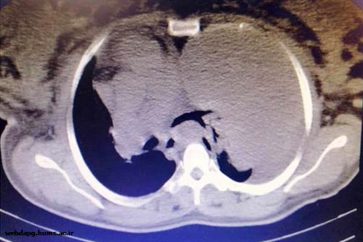
تومور ۲ کیلویی با موفقیت از ریه سمت چپ یک زن باردار هرمزگانی در بیمارستان شهید محمدی بندرعباس خارج شد.

تومور 2 کیلویی

به گزارش خبرگزاری موج هرمزگان، وحید دهستان فوق تخصص ریه با بیان وضعیت بیمار گفت: بیمار یک خانم  ۳۳ ساله و حدود ۳۴ هفته بارداری با علائم تنگی نفس، سرفه و درد در قفسه سینه به بیمارستان شهید محمدی مراجعه کرد، که در معاینات بالینی و بررسی نخست از جمله سونوگرافی ریه احتمال وجود تومور ریه نیز مطرح شد و جهت اقدامات تکمیلی، عکس از قفسه سینه و سی تی اسکن انجام که پس از نمونه برداری از طریق پوست وجود تومور محرز شد.

وی ابراز کرد: با توجه به شرایط بیمار، کمیته ای جهت ختم بارداری بیمار تشکیل شد و پس از تولد نوزاد پسر به روش سزارین، بیمار تحت عمل برداشتن تومور قرار گرفت.

فوق تخصص جراحی توراکس بیمارستان شهید محمدی بندرعباس با اشاره به اینکه این عمل جراحی جزو اعمال جراحی نادر در استان است گفت: این عمل با توجه به حساسیت بالا و رشد زیاد تومور در ریه به حدی که آئورت و قلب را به طرف مقابل فشار داده بود، با تلاش تیم پزشکی با موفقیت صورت گرفت.

سید حسام الدین بنی هاشمی افزود: با توجه به اندازه تومور و اینکه تومور از داخل به دیافراگم نیز چسبیده بود در نهایت با همکاری تیم بیهوشی و اتاق عمل، توموری به اندازه ۲ کیلوگرم از ریه سمت چپ بیمار خارج گردید؛ و نمونه جهت بررسی به بخش پاتولوژی ارسال شد.

آیا این خبر مفید بود؟
دیدگاه های ارسال شده توسط شما، پس از تایید توسط خبرگزاری موج در وب منتشر خواهد شد.

پیام هایی که حاوی تهمت و افترا باشد منتشر نخواهد شد.

پیام هایی که به غیر از زبان فارسی یا غیرمرتبط باشد منتشر نخواهد شد.

ارسال نظر

مهمترین اخبار

گفتگو

آخرین اخبار گروه

پربازدیدترین گروه