عمل جراحی نادر سرطان پروستات در تبریز
یک گروه پزشکی در مرکز آموزشی، درمانی و تحقیقاتی بیمارستان امام رضا تبریز موفق به انجام یک نوع عمل جراحی نادر سرطان…
یک گروه پزشکی در مرکز آموزشی، درمانی و تحقیقاتی بیمارستان امام رضا تبریز موفق به انجام یک نوع عمل جراحی نادر سرطان…
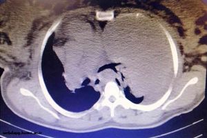
تومور 2 کیلویی با موفقیت از ریه سمت چپ یک زن باردار هرمزگانی در بیمارستان شهید محمدی بندرعباس خارج شد.