پیوند عضو بیمار ۵۳ ساله مرگ مغزی در اصفهان
کبد بیمار مرگ مغزی در اصفهان به یک بیمار نیازمند عضو پیوند شد.
کبد بیمار مرگ مغزی در اصفهان به یک بیمار نیازمند عضو پیوند شد.
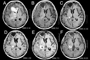
پروژه مطالعاتی بزرگی آغاز شده که تفکر ما نسبت به تومورهای مغزی را دگرگون می کند.
مردی که به دلیل جراحت نخاعی از شانه به پایین فلج شده، اکنون به وسیله میکرو تراشه ای که در مغز او قرار داده شده می…
اسطوره کنونی بارسلونا معتقد است شرایط کنونی بارسلونا عالی است و در دوران جوانی هیچ گاه فکر نمیکرد بازیکن چنین تیمی شود.
تمرین ورزشی که 12 هفته به طول بیانجامد میتواند در جلوگیری از کاهش کارایی شناختی بعد از سکته موثر باشد.
بررسیهای گذشته حاکی از آن بود که افراد خلاق و هنرمند راستمغز و افراد منطقی و تحلیلی چپمغز هستند؟ اما آیا واقعا مغز…
صرع از جمله اختلالهای مزمن مغزی است که تقریبا 50 میلیون نفر در سراسر جهان به آن مبتلا هستند.
الجزیره امارات تیم سخت و قدرتمندی است که شاگردان پورموسوی باید جانانه با آنها بجنگند و گرفتن امتیاز از ابوظبی و آوردن…
بهتر است روغن حیوانی به جای روغنهای نباتی و روغن مایع مصرف شود، زیرا روغن نباتی یا روغن های هیدروژنه جامد سبب افزایش…
ویتامین های B۱، B۹ و C، کلسیم، منیزیم و روی غذای اصلی مغز هستند و کمبود این مواد عملکرد مغز را با مشکل مواجه می کند.