استفاده از الگوریتم یادگیری عمیق برای تشخیص اسکیزوفرنی
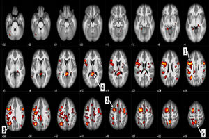
همکاری علمی میان محققان در IBM و دانشگاه آلبرتا در کانادا به ایجاد نرمافزاری منجر شده است که میتواند اسکنهای…
همکاری علمی میان محققان در IBM و دانشگاه آلبرتا در کانادا به ایجاد نرمافزاری منجر شده است که میتواند اسکنهای…
دانشمندان انگلیسی به کشف بسیار مهمی درباره پیش بینی زمان مرگ زودهنگام دست یافته اند.
دنیای علم طی 365 روز گذشته، هر روز اتفاق تازه ای را تجربه کرد. اتفاقاتی در حوزه های مختلف که هرکدام به طریقی روی بخشی…