English

نظارت بر بیماری رتینوپاتی دیابتی با نور آبی

محققان "دانشگاه توکیو" ژاپن در مطالعه اخیرشان دریافته‌اند همانطور که یک نور درخشان می‌تواند یک اتاق بسیار تاریک را روشن کند، نور آبی نیز می‌تواند گزینه خوبی برای بررسی برخی قسمت‌های چشم باشد.

رتینوپاتی دیابتی

به گزارش خبرگزاری موج و به نقل از تی ان، دانشمندان این مطالعه اظهار کرده‌اند برای بررسی بهتر و کاوش در اعماق چشم و کشف نواحی تحت تاثیر رتینوپاتی دیابتی (DR) که علت اصلی نابینایی است می‌توان از نور آبی استفاده کرد.

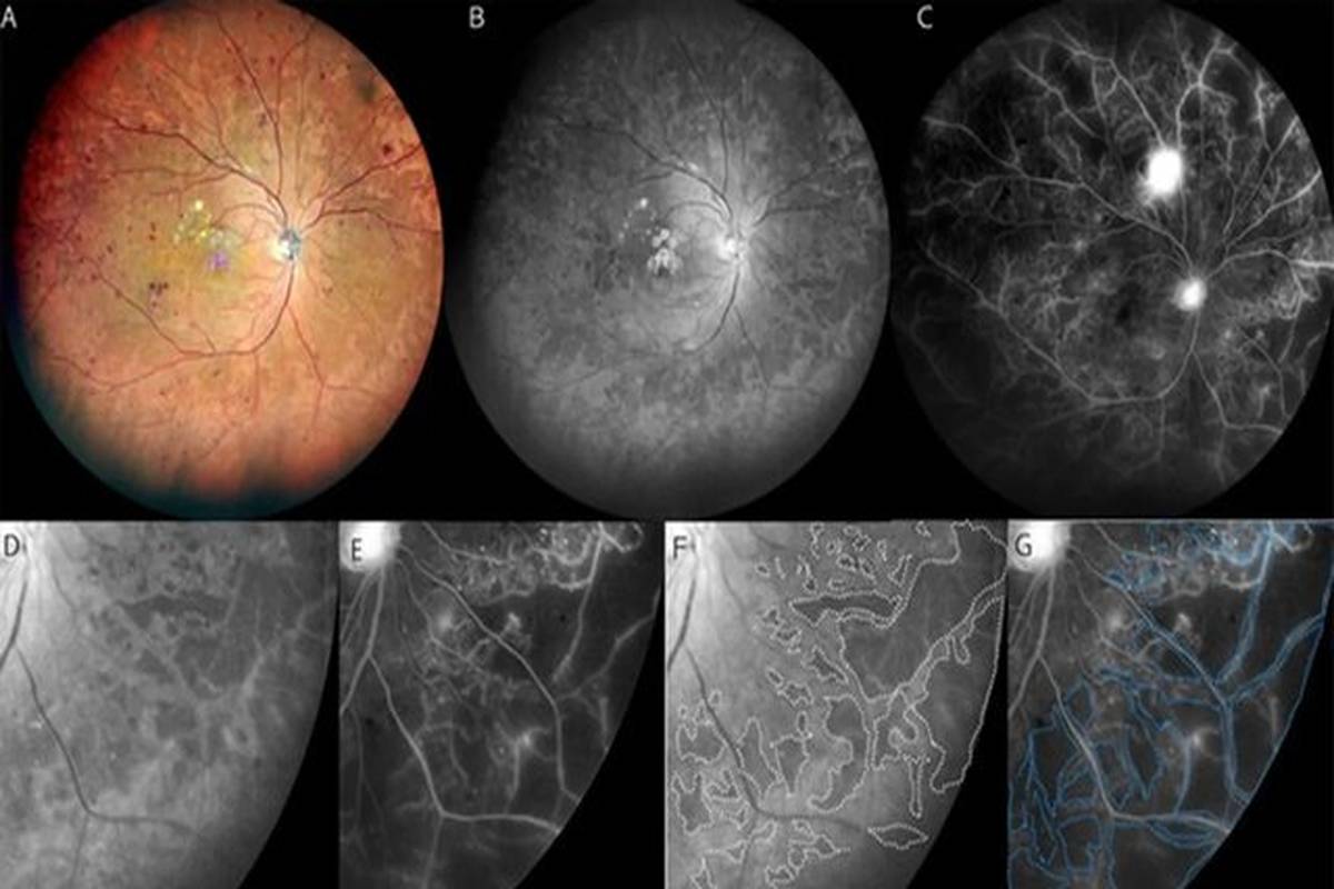
ژاپنی‌ها در مطالعه اخیرشان متوجه شده‌اند که می‌توان از تصاویر آبی به‌دست‌آمده توسط روش "افتالموسکوپی اسکن لیزری میدان وسیع چندرنگی" (SLO) برای شناسایی نواحی از چشم افراد که به دلیل ابتلا به رتینوپاتی دیابتی آسیب دیده است، استفاده کرد. به گفته محققان با کمک این روش (نسبت به روش‌های پیشین) بخش گسترده‌تری از چشم را می‌توان بررسی کرد.

رتینوپاتی دیابت ی (Diabetic retinopathy) یا شبکیه‌رنجوری دیابتی عارضه‌ای ناشی از دیابت است که به دلیل تغییرات ایجاد شده در رگ‌های خونی رخ می‌دهد. وقتی عروق خونی در شبکیه آسیب می‌بینند ممکن است باعث نشت مایع یا خون شده یا منجر به رشد شاخه‌های عروقی شکننده و کلاف مانند شده و باعث تخریب شبکیه شود در نتیجه تصویری که شبکیه به مغز می‌فرستد تار یا کج می‌شود.

روش‌های فعلی تصویربرداری از چشم شامل آنژیوگرام فلورسین است که طی آن رنگ به چشم تزریق می‌شود. اما افتالموسکوپی اسکن لیزری یک رویکرد غیر تهاجمی است که نیازی به رنگ ندارد و روش "افتالموسکوپی اسکن لیزری میدان وسیع چندرنگ" نیز نشان دهنده پیشرفت این تکنیک است که در آن از لیزرهای قرمز، آبی و سبز برای ثبت همزمان چند تصویر از بخش وسیعی از چشم استفاده می‌شود. تحقیقات قبلی نشان داده است که تصاویر آبی گرفته شده توسط افتالموسکوپی اسکن لیزری معمولی ممکن است مناطقی از  چشم که نشان دهنده آسیب مرتبط با رتینوپاتی دیابتی است را نشان هد.

در این مطالعه، محققان تصاویر به دست آمده توسط روش افتالموسکوپی اسکن لیزری با میدان وسیع آبی و تصاویر آنژیوگرام فلورسین از چشم افراد مبتلا به دیابت را با یکدیگر مقایسه کردند و سپس به بررسی مورفولوژی شبکیه برخی از افراد مبتلا به رتینوپاتی دیابتی پرداختند.

"کیوکو اوهنو ماتسوی"( Kyoko Ohno-Matsui) نویسنده ارشد این مطالعه گفت:ما دریافتیم که مناطق کم‌انعکاس در تصاویر افتالموسکوپی اسکن لیزری با میدان وسیع آبی با مناطق ایسکمی در تصاویر آنژیوگرام فلورسین بیماران مبتلا به رتینوپاتی دیابتی مطابقت دارد. ارزیابی بیشتر تصاویر نشان داد که به نظر می‌رسد نواحی ایسکمی با قسمت‌هایی از شبکیه که نازک و تا حدی بی سامان بودند، مطابقت دارند.

ایسکِمی (Ischemia) در اصطلاح پزشکی به کم‌رسیدن خون، به اندام یا ناحیه‌ای از بدن گفته می‌شود.

محققان گفتند این امکان وجود دارد که طول موج نور آبی بتواند راحت‌تر از این نواحی نازک‌شده شبکیه که به‌عنوان مناطق کم‌انعکاس در تصاویر افتالموسکوپی اسکن لیزری نمایش داده می‌شوند، عبور کند.

این مطالعه کاربرد روش "افتالموسکوپی اسکن لیزری میدان وسیع آبی" به عنوان یک ابزار ساده و غیر تهاجمی برای تشخیص آسیب‌های مرتبط با رتینوپاتی دیابتی در چشم را تایید می‌کند. این روش ممکن است به عنوان یک ابزار مهم غربالگری و نظارت بر پیشرفت بیماری در افراد مبتلا به رتینوپاتی دیابتی عمل کند.

یافته‌های این مطالعه در مجله "Asia-Pacific Journal of Ophthalmology" منتشر شد.

 

آیا این خبر مفید بود؟
دیدگاه های ارسال شده توسط شما، پس از تایید توسط خبرگزاری موج در وب منتشر خواهد شد.

پیام هایی که حاوی تهمت و افترا باشد منتشر نخواهد شد.

پیام هایی که به غیر از زبان فارسی یا غیرمرتبط باشد منتشر نخواهد شد.

ارسال نظر

آخرین اخبار گروه

پربازدیدترین گروه